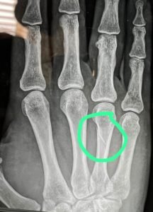
Durante el transcurso del CSN3*que tuvo lugar la semana pasada en Hípica de Toledo, Mireya Ramírez sufrió una fractura en su mano mientras disputaba una prueba.
Ante el interés de la amazona de
poder correr la Final de la Liga de salto de la RFHE que se llevará a cabo este fin de semana en las mismas instalaciones, fue a visitar al traumatólogo de los jinetes, Jaime Baselga.
Éste encontró una solución transitoria para que pudiera disputar el concurso de esta semana. La importancia de que el traumatólogo entienda de este deporte es que siempre apuesta por la carrera deportiva de los jinetes.
El lunes de la semana que viene, cuando ya haya finalizado el concurso, Mireya visitará a Jaime Baselga en su consulta de Madrid para determinar el correcto tratamiento para su mano en los próximos días para asegurar una recuperación absoluta que la permita continuar con su carrera deportiva.

















0 comentarios